Por RAQUEL LUIZA,

Síndrome mieloproliferativa crônica (proliferação excessiva das células germinativas do osso medular) em que predomina o crescimento da série branca.
Está diretamente relacionado a uma alteração cromossômica que consiste na troca de material genético entre os cromossomos 9 e 22, dando origem à formação do chamado cromossomo Filadélfia.
Na leucemia mieloide crônica ocorre uma alteração genética numa versão imatura das células mieloides, as células que produzem os glóbulos vermelhos, plaquetas e a maioria dos tipos de células brancas do sangue. Essa alteração forma um gene anormal denominado BCR-ABL, que transforma a célula em células de leucemia mieloide crônica. As células leucêmicas crescem e se dividem, acumulando-se na medula óssea e espalhando-se para o sangue. Com o tempo, essas células podem se instalar em outras partes do corpo, como o baço.
A maioria dos casos de leucemia mieloide crônica ocorre em adultos, mas muito raramente também pode acontecer em crianças.
A estatística segundo o Instituto Nacional de Câncer (INCA) é que, para cada ano do triênio 2020/2022, sejam diagnosticados no Brasil 10.810 novos casos de leucemia. (https://www.gov.br/inca/pt-br)
Cerca de 15% dos novos casos de leucemia são de leucemia mieloide crônica.
A idade média, no momento do diagnóstico, da leucemia mieloide crônica é de 64 anos. Quase metade dos casos são diagnosticados em pessoas com mais de 65 anos. A leucemia mieloide crônica acomete principalmente adultos, raramente é diagnosticada em crianças.
A LMC é classificada pela Organização Mundial da Saúde (OMS) como uma “neoplasia mieloproliferativa” (quando a medula óssea produz células sanguíneas em excesso).

Pacientes com LMC apresentam uma superprodução de glóbulos brancos e normalmente têm uma evolução lenta no crescimento das células doentes ao longo do tempo. Isso pode causar anemia, fadiga, infecções, sangramentos e outros problemas. Mas alguns pacientes são completamente assintomáticos e a doença é descoberta em um exame comum de sangue.
Sintomas da Leucemia Mielóide Crônica – LMC
Inicialmente, os sintomas da leucemia mieloide crônica podem ser leves e até imperceptíveis, como: os pacientes apresentam perda de peso, astenia (fraqueza), sudorese noturna, fadiga, fraqueza, artrite, síndrome anêmica e / ou aumento do fígado e / ou baço (hepatoesplenomegalia).
80% dos pacientes passam por uma fase de transformação, que consiste na progressão da doença com proliferação autônoma da série branca e aparecimento no sangue periférico de leucócitos imaturos (blastos). Apresenta-se com progressão da hepatoesplenomegalia, infiltração de outros órgãos e piora dos sintomas.
Com a evolução do doença, outros sintomas podem se manifestar:
- palidez
- sangramento
- febre acentuada
A fase terminal da doença é conhecida como crise da placa ou fase aguda da leucemia e ocorre quando a porcentagem de blastos na medula óssea ultrapassa 20%.
Quais são as causas da leucemia mieloide crônica?
As causas da leucemia mieloide crônica estão relacionadas com uma alteração do DNA que provoca a superprodução de granulócitos maduros e imaturos, que são as células responsáveis pela defesa do organismo.
Como é feito o diagnóstico
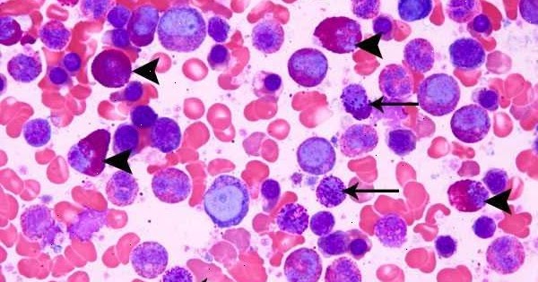
O exame de sangue mostra um aumento em todas as células da série branca (neutrófilos, eosinófilos, basófilos e monócitos) e geralmente há anemia presente.
Há também diminuição de enzimas relacionadas à função dos neutrófilos, como a fosfatase alcalina leucocitária e a mieloperoxidase.
A presença do cromossomo Filadélfia pode ser detectada por estudo citogenético.
A punção da medula óssea mostra um aumento no número de células e na relação entre os precursores dos leucócitos e os glóbulos vermelhos.
Tratamento
O transplante de medula óssea pode ser curativo quando realizado nos primeiros anos da doença.
Existem medicamentos que podem retardar o início da fase de blastos, como o interferon.
Combinações de citostáticos (drogas capazes de inibir o crescimento celular) são utilizadas para o tratamento da crise blástica, com resultados discretos.
